BRENERCLINIC

Digital Smile Design (DSD)

 technology allows Brener Clinic to analyse and design the most natural and aesthetic smile makeover

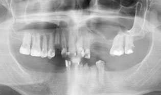
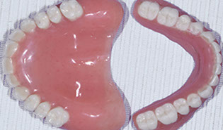
ORAL REHABILITATION USING DSD

i) Damaged, broken and missing teeth

ii) Treatment Planning, including 3d cone beam scans

iii) Photo and video capture of smile and face still,

in motion and with emotion

iv) Clinical analysis and digital design of new smile

v) Fabricating temporary and permanent restorations

vi) Placing temporary and permanent restorations for a beautiful new smile