CONTACT
HOME
ABOUT
DIGITAL SMILE DESIGN
COSMETIC DENTISTRY
ORAL REHABILITATION
FINANCING
DENTAL IMPLANTS
ALL-ON-4 IMPLANTS
BONE GRAFTING
DENTAL HYGIENE
SMILE GALLERY
ADDRESS & MAP
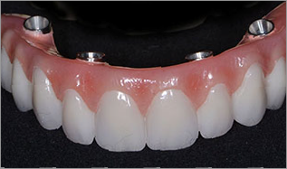
ALL-ON-4 DENTAL IMPLANTS
Permanent All-on-4 replacement teeth
Broken, bad and crooked teeth
After All-on-4 dental implants by Brener Clinic
© Brener Clinic
Digital Smile Design