BRENERCLINIC

DIGITAL SMILE DESIGN (DSD)

Overview

The DSD Process

DSD FAQ

Dental Hygiene

Digital Smile Design (DSD)

Using state of the art Digital Smile Design (DSD) digital technology and multidisciplinary analysis, Brener Clinic will provide you with the best possible outcome for your

smile makeover.

 

Prior to your smile makeover treatment, Brener Clinic will provide you with pre- and post-operative instructions to follow, and will answer any questions or concerns you may have.

ORAL REHABILITATION USING DSD

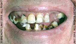
i) Damaged, broken and missing teeth

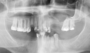
ii) Treatment Planning, including 3d cone beam scans

Step 1 – Diagnosis

Brener Clinic’s aim is to help you make an informed decision regarding your treatment. We begin with a personalised Digital Smile Design consultation to fully understand your needs and to enable us to recommend the ideal treatment options for you.

 

Importantly, we take into account your goals and desires for your smile before creating an individualised treatment plan for you.

 

Your diagnosis includes a thorough radiographic examination. Brener Clinic takes 3D Cone Beam CT Scans as well as digital impressions of your upper and lower jaws to assist with treatment planning. A thorough medical history is also taken so we can communicate with your doctor and specialist medical team if necessary.

 

iii) Photo and video capture of smile and face still,

in motion and with emotion

Step 2 – Photo/Video and clinical analysis and design

Brener Clinic takes a series of high-quality digital photos and videos to analyse thoroughly your facial and oral proportions and movement. This data helps us determine the relationship between your smile line, teeth, gums and lips, and how they move together with your individual personality. This analysis allows us to digitally design your smile using DSD technology and plan the treatment.

iv) Clinical analysis and digital design of new smile

Step 3 – "Test-drive" your temporary tooth restorations

Brener Clinic custom-makes and places temporary tooth restorations and replacements for you to "test-drive". These mock-up restorations are derived using the DSD data and look almost exactly the same as your final restorations.

Step 4 – Placing your permanent tooth restorations

Brener Clinic custom-makes and places your permanent tooth restorations and replacements for a beautiful natural new smile.

 

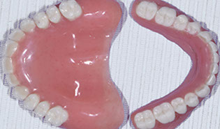
v) Fabricating temporary and permanent restorations

vi) Placing temporary and permanent restorations for a beautiful new smile

© Brener Clinic

Implant Info Evening

 
Attend an informal talk
on Dental Implants and All-on-4
at Brener Clinic conducted by
A/Prof Dan Brener.

Sign up

Stay Connected

 
Receive emails about special
dental news and events. Your
information will be kept confidential
and will not be shared with others.

Subscribe

Appointment

 
Make an appointment
for a Brener Clinic
dental service.
Call (02) 9922 7977

Contact

Dental Implants


Missing or damaged teeth?
Call Brener Clinic about a
dental implant service.
Call (02) 9922 7977

Contact

BRENERCLINIC

BRENER IMPLANT INSTITUTE (Bii)

FINANCING

EASY-TO-EAT & MAKE RECIPES

AFFILIATES

 © BRENERCLINIC 2018. ALL RIGHTS RESERVED

      Site by Tesia Rynkiewicz